Ce dispositif médical, conçu sur mesure, rétablit une bonne occlusion dentaire, c’est-à-dire un contact équilibré entre les deux mâchoires.
Les pathologies bucco-dentaires - Page 2
La dysfonction de l’appareil manducateur, ou DAM, désigne les troubles musculaires et articulaires de la mandibule (mâchoire inférieure).
La totalité des dents des deux maxillaires constitue un ensemble stable et la perte d’une seule dent peut perturber tout l’équilibre de la bouche.
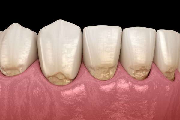
La mylolyse ou lésion cervicale d’usure se définit comme une perte de matière dentaire se localisant au collet de la dent.
Un kyste dentaire se présente en général sous la forme d’une masse arrondie ou ovale située à la racine de la dent.
Petites lésions apparaissant sur la langue ou la gencive, les aphtes sont généralement sans gravité. Quelle est leur origine et comment soulager la gêne et la douleur ?
Découvrez notre collection de fiches pédagogiques





