Cabinet dentaire du Dr LENTREBECQ
Chirurgien-Dentiste à REIMS
Accueil
Le cabinet
Plan d'accès
Urgences
Vidéos
Invisalign
Dentisterie esthétique
Soins, hygiène et pathologies
Implants dentaires
Traitement des gencives
Prothèses dentaires
Orthodontie
Rions un peu
Fiches Conseils
Questionnaire médical
RDV en ligne
Contact
Langue
English
Deutsch
Español
Italiano
46, rue de Talleyrand, 51100 REIMS
+33 3 26 88 35 55
Cabinet dentaire du Dr LENTREBECQ
Chirurgien-Dentiste à REIMS
Accueil
Le cabinet
Plan d'accès
Urgences
Vidéos
Invisalign
Dentisterie esthétique
Soins, hygiène et pathologies
Implants dentaires
Traitement des gencives
Prothèses dentaires
Orthodontie
Rions un peu
Fiches Conseils
Questionnaire médical
RDV en ligne
Contact
Langue
English
Deutsch
Español
Italiano
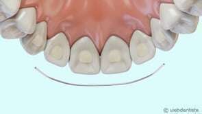
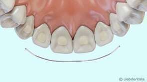
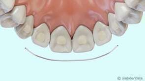
Fil de contention
Vidéos 3D
Partager
Twitter
Partager
Partager
Envoyer
Copier
Politique de confidentialité et charte cookie
Mentions légales
Conditions Générales Utilisation
Charte déontologique
Ordre national
Annuaires chirurgiens dentistes
Hygiène & Asepsie
Honoraire & rembousement
Diaporama
Contact
46, rue de Talleyrand
51100
REIMS
+33 3 26 88 35 55
Rechercher dans le blog Blog
Création par
Connexion
Vidéo en cours de lecture